Product Center
產品中心
NC轉印膜
硝酸纖維素(NC)轉印膜被廣泛用于科研和醫學診斷領域的蛋白質和核酸檢測分析應用,具有結合能力強,不需要預先活化,背景淺等優點。泰林硝化纖維素(NC)轉印膜是印跡檢測分析應用的良好選擇,經專門設計和優化,特別適合于蛋白印跡檢測。高靈敏度、高分辨率和低背景保證了優異的實驗結果。
技術參數

產品特點
低背景和出色的信噪比
天然材料,蛋白可保持較長時間活性
與多種檢測方法和試驗系統兼容良好
高蛋白結合能力,高靈敏度
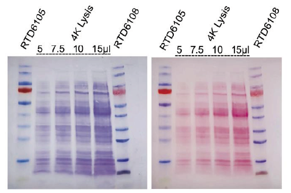
蛋白轉印染色效果圖

典型應用
Western印跡
Northern印跡
Southern印跡
點/狹線雜交
訂購信息

銷售熱線
產品技術信息可能因產品升級發生變更,恕不另行通知,最終解釋權歸泰林所有。
EN